傳媒
香港大學與安徽醫科大學牙科研究員發現青口特質能鞏固牙齒
2013年09月09日
香港大學及安徽醫科大學的科學家從青口牢牢地黏貼著水底物件,而啟發出新的實驗技術來再生牙齒表面的礦物。
研究團隊發現假如牙齒樣本塗上相似於青口自行釋出的蛋白質黏液,用以貼實堅固表面,該批樣本就會產生礦物晶體。
此黏液能增加在牙齒表面琺瑯質及內層象牙質的礦物,此礦物亦能幫助兩者修復硬度。特別是此礦物晶體能填滿象牙質內的微細管道。
香港大學牙醫學院朱振雄醫生及曹穎醫生組成的研究團隊留意到牙齒的象牙質外露,當我們吃冷、熱、酸或甜的食物時,會感到痛楚。所以,研究團隊認為這項技術對發展治療敏感牙齒有著啟示作用。
根據在American Chemical Society的期刊ACS Applied Materials & Interfaces內發表的報告,研究員們先把人類牙齒切片作實驗樣本,並滴上強酸性液體,用來溶解牙齒上一些的礦物質。把其中一組樣本放於多巴胺化學溶液內,一天內在除掉了礦物質的牙齒表面上便形成了聚多巴胺,這模仿著青口製造其強力黏液的過程。然後分別將塗上聚多巴胺及沒有塗上聚多巴胺表層的樣本放於含鈣和磷酸鹽的溶液一星期,嘗試形成磷灰石晶體,以便再去礦化牙齒。
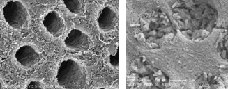
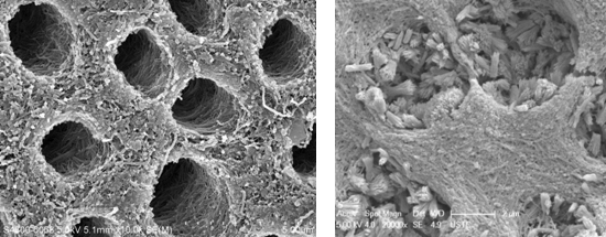
此研究透過掃瞄式電子顯微鏡檢查,發現塗上聚多巴胺的牙齒有再礦化現象,在琺瑯質及象牙質皆可找到新的礦物晶體。不但可在象牙質表面看到礦物晶體,更可在象牙質內的微細管道看到。至於沒有覆蓋聚多巴胺的牙齒,則只有琺瑯質有再礦化。
而透過硬度測試 (Knoop microhardness),研究發現塗上聚多巴胺的再礦化的象牙質樣本較被酸性液體去礦化的象牙質硬,不過不及原先樣本的象牙質硬。同樣,不論有沒有塗上聚多巴胺的牙齒,其礦化了的琺瑯質均較去礦化的琺瑯質為硬,但又不及原先樣本的琺瑯質硬。
研究員們總結出聚多巴胺是不會阻礙琺瑯質再礦化,及能修改牙齒表面來刺激象牙質再礦化。他們認為聚多巴胺能結合象牙質蛋白質及膠原,那裏便能提供形核位置,吸引鈣與磷酸鹽結構及使礦物晶生長,並特別生長在象牙質微細管道內。
研究的作者們解釋四份三人口有敏感牙齒的問題是因為接連牙齒神經線的象牙質微細管道外露,當聚多巴胺的外層再加上鈣和磷酸鹽似能填補所有象牙質的微細管道,他們稱對此敏感牙齒方法為「潛在醫療技術」。兼且此方法亦可代表著一個「簡單的、普遍的技術」去為琺瑯質及象牙質修補礦物。不過,作者們提出一點需要注意的,就是用聚多巴胺作臨床實驗研究時,可能使人體產生出有害的效應和影響。
此項中港合作研究計劃由國家自然科學基金委員會─香港研究資助局合作研究計劃、安徽省教育廳傑出青年基金及安徽省自然科學基金委員會青年基金資助。
#####
資料來源:Zhou YZ, Cao Y, Liu W, Chu CH, Li QL. Polydopamine-induced tooth remineralization. ACS Appl Mater Interfaces 2012; 4:6901-10. Medline link 內的研究文章: http://www.ncbi.nlm.nih.gov/pubmed/23176019
有關牙齒敏感成因(象牙質過敏症),亦可參閱:酸性侵蝕牙齒資料單張。(英文單張)
有關香港大學牙醫學院其他資訊,可瀏覽 http://facdent.hku.hk ; Facebook 專頁:www.facebook.com/facdent
傳媒查詢:
香港大學牙醫學院社區及家庭牙醫臨床副教授朱振雄醫生,電郵:chchu@hku.hk
香港大學牙醫學院傳訊及發展主任區凱聲,電話:2859 0454,電郵:singau@hku.hk
