傳媒
香港大學醫學院研究團隊發現禽流感病毒跨種感染人類的適應性變異
2014年11月20日
不同的病毒受到種間感染和傳播的限制,正是這種物種間的限制性使得一般的禽流感病毒不容易引起哺乳類動物和人類的感染和傳播。但是,香港大學新發傳染病國家重點實驗室及香港大學李嘉誠醫學院微生物學系副教授陳鴻霖博士和微生物學系講座教授、霍英東基金教授 (傳染病學) 袁國勇教授帶領的研究團隊於一項最新的研究中發現,不同禽流感病毒的複製酶體系的PB2亞基可能發生不同類型的適應性變異,令病毒能夠在哺乳類動物及人類細胞中繁殖,從而發生人類感染並引起嚴重疾病。研究結果近期已於Nature Communications上發表,研究團隊的宋文俊和王培博士為論文共同第一作者。
研究背景
自從1997年以來, 多種禽流感病毒在多個國家出現感染人類的病例,其中H5N1禽流感病毒已經在全球引起超過600人的感染, 當中近一半為死亡病例;H9N2禽流感雖不引起嚴重病症,但血清學和病毒受體研究表明病毒具有一定感染人類的能力;2013年首先在中國華東地區出現的H7N9禽流感至今已經引起超過400人感染,其中三分之一人死亡;除了H5N1, H9N2和H7N9禽流感病毒之外, 禽流感病毒亞型H10N8, H6N1和H5N6也相繼在中國內地及台灣發生感染人類事件,瞭解病毒跨種感染的機制是應對將來大流感流行(pandemic)的關鍵。
流感病毒血凝素蛋白(HA)對細胞受體結合能力是感染能否成功的第一步, 目前的研究發現大部分的禽流感病毒都有一定的結合人類呼吸道細胞受體的能力,但並不是所有禽流感病毒都能發生感染人類。所以,除受體外,到底還有什麼病毒因素決定了某些禽流感病毒具有感染人的能力?為什麼有些病毒更容易發生跨種感染人類?我們有沒有能力監測禽流感病毒的變化並預測某些病毒可能更具有感染人類的能力?所有這些問題都是我們預防和快速控制將來大流感流行(pandemic)需要解決的。由於物種間的差異,一般情況下禽流感病毒進入人類細胞後並不能在人類細胞中有效繁殖,所以跨種感染和繁殖受到限制,但是在某些情況下, 禽流感病毒會發生一定的適應性變異,使得病毒獲得在人類細胞繁殖的能力,從而發生人感染並引起嚴重疾病。
研究結果
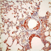
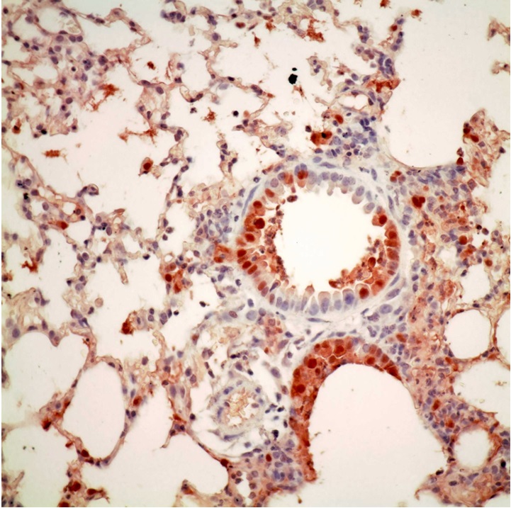
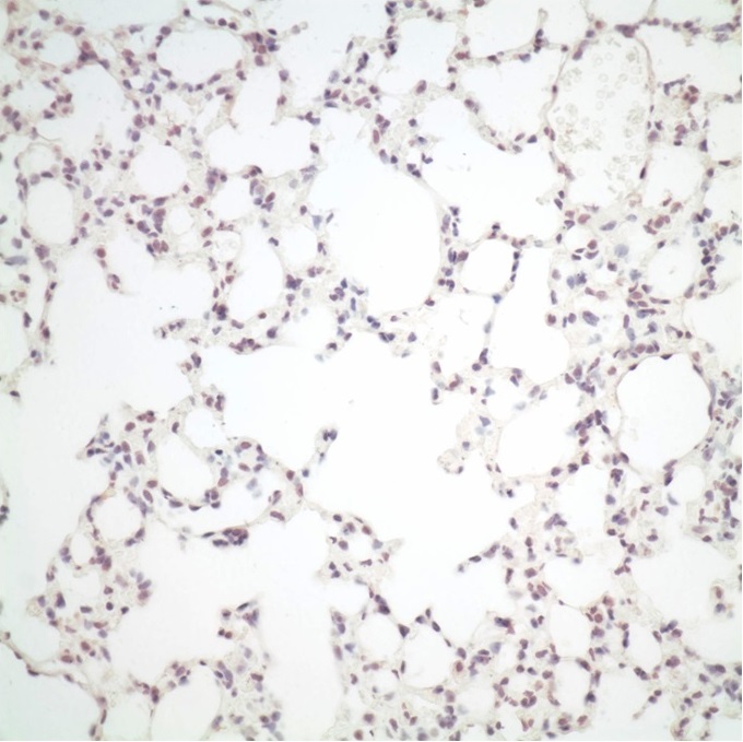
在Nature Communications發表的一項最新的研究中, 香港大學新發傳染病國家重點實驗室和香港大學李嘉誠醫學院微生物學系副教授陳鴻霖博士和微生物學系講座教授、霍英東基金教授 (傳染病學) 袁國勇教授帶領的研究團隊通過對H7N9、H5N1禽流感病毒和H3N2季節性流感病毒研究發現,不同禽流感病毒的複製酶體系的PB2亞基可能發生不同類型的適應性變異使得病毒能夠在哺乳類動物(包括人)細胞中繁殖;港大的這項研究發現H7N9禽流感病毒的複製酶體系的PB2基因有多種類型的適應性變異,這可能可以部分解釋H7N9禽流感病毒具有與其它禽流感病毒不同適應機制,使得它感染人的能力高於其它禽流感病毒。他們的研究還發現其中一種變異PB2-526在部分H7N9和印度尼西亞人感染的H5N1病毒中出現,因為以前一直沒在印度尼西亞H5N1禽流感病毒發現跟其它地區人類感染H5N1病毒相同的PB2適應性變異,港大的發現首次解釋了印度尼西亞H5N1禽流感病毒感染人類的PB2適應性變異特性。 PB2-526R變異還能夠增強其它類型的PB2變異(如PB2-627K)在哺乳類動物細胞繁殖的能力和致病性,他們的研究發現, 季節性流感H3N2在1968年形成後不久,從1970年左右在原有的PB2-627K的基礎上再獲得PB2-526R的適應性, PB2-526R和PB2-627K雙適應標記的病毒繁殖高於單獨具有PB2-627K的病毒,這也許可以部分解釋了H3N2季節性流感的傳播能力和致病性普遍高於另一種季節性流感H1N1病毒的原因。港大的這些研究發現進一步解開了禽流感病毒跨種感染和在人類細胞繁殖的必要條件,並為今後禽流感病毒監測提供了新的跨種感染、傳播和宿主適應分子標記物。
如欲瀏覽新聞圖片,請登入以下網址:
http://www.med.hku.hk/v1/news-and-events/press-releases/


