傳媒
市民應小心進食堅硬賀年食品以防牙齒斷裂
2016年01月29日
每逢過年時節,傳統食品如煎堆、瓜子及果仁等, 是每家每戶必備的賀年食品, 取其吉祥意思。香港大學牙醫學院呼籲,市民應避免在新年期間進食過多堅硬食品,否則可能導致牙齒磨損,甚至破裂。
港大牙髓病學臨床教授張順彬醫生指出,有關牙隱裂病例的數字往往集中在一月至三月期間,病徵包括嘴嚼時牙齒疼痛、牙齒遇冷遇熱刺激敏感等。
在2015年,轉介至牙醫學院牙髓病學部門跟進的牙隱裂個案共9宗,大部分(7宗,或78%)於首季接獲。
病例中,患者年齡介乎35到55歲,斷裂的牙齒多涉及臼齒和前臼齒。
張教授稱導致「不完全牙裂」(牙隱裂)的成因有多種,包括牙齒磨損、磨牙、牙齒創傷或因意外咬到硬物等。
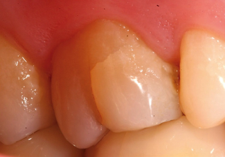
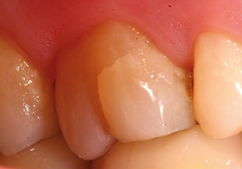
他說: 「牙隱裂最先發生在牙齒最外層的釉質層,即琺瑯質層(enamel); 部分或加深至牙本質(dentine)。當裂紋伸展至牙本質,便可能引致咬痛。當其滲入深層甚至牙髓,位處同一邊面的三叉神經接收訊息,病人因此感覺痛楚。」
他說若患者沒有及早求醫,加上進食大量堅硬食品如瓜子和果仁,問題有機會進一步惡化,所引致的劇痛足以令患者枕食難安。
張教授說:「牙齒表面的細小裂紋難用肉眼發現,當用牙齒咬開瓜子殼,這些裂紋便會因而受壓張開,導致痛楚加劇。同樣情況,當一粒細小芝麻夾於後牙窩溝底部時,芝麻會隨著嘴嚼的壓力把牙齒表面的裂紋推開,令裂紋加深加闊。」
牙隱裂除導致疼痛及牙齒敏感外,有機會令牙齒碎片掉落。
他說在較嚴重的個案中,细菌入侵至裂紋間隙,令患者出現窄而深的牙周袋(一種特殊牙周病)。在這情況下,斷裂的牙齒必須拔掉,以防止牙槽骨質流失及進一步受損而被感染。
其他修補方法包括以戴牙套遮蓋整條裂紋,目的是防止細菌感染及裂縫加深。
有研究指出, 美國每年每23個成年人就有一隻後牙斷裂; 以冠牙方式修復牙齒的治療中,有44% 的治療是為了防止牙齒斷裂。
張教授說市民對牙隱裂的認識有必要提高: 一方面人口老化,牙齒磨損相對增加; 另一方面,病人難以發現自己患有牙隱裂,所以他們更應了解牙隱裂的病徵。
他說: 「牙隱裂的診斷對牙醫也構成挑戰,因為即使用X-光放射照片,也難以檢測到裂紋。」
由於牙隱裂的診斷難單憑病徵確定,故常有誤診情況。張教授認為口腔手術顯微鏡是最有效的檢測及診斷牙隱裂的工具。
他建議病人應盡早求醫,並進行適當的檢查及治療。
要預防牙齒斷裂症,可參考以下建議:
- 避免用門牙咬開瓜子殼
- 避免進食大量硬果或有堅硬外皮的食品,例如煎堆
- 分散嘴嚼的壓力到口腔兩邊,讓不同牙齒分擔壓力
- 經常以燕麥片作早餐的人士,可將麥片浸透或煮至軟爛才進食
傳媒查詢:
香港大學牙醫學院,電話:2859 0494,電郵:dentke@hku.hk


