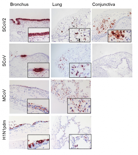
專家及決策者必須掌握新型冠狀病毒(SARS-CoV-2;或稱嚴重急性呼吸綜合症冠狀病毒2型)以何種途徑感染人類,才能加強預防感染和控制傳播的措施。於過去十五年,香港大學李嘉誠醫學院(港大醫學院)公共衞生學院的研究團隊致力研發在實驗室中培養人類呼吸道和眼睛組織的方法,並將有關技術應用於呼吸道病毒研究,例如H5N1禽流感病毒、H5N6、H7N9、2009年H1N1大流行病毒及中東呼吸綜合症病毒(MERS-CoV)。團隊最近利用有關技術研究SARS-CoV-2,證明SARS-CoV-2可以感染人類上呼吸道和結膜(眼膜內的細胞),同時,相較於引起嚴重急性呼吸系統綜合症(亦稱「沙士」)的冠狀病毒(SARS-CoV),SARS-CoV-2更容易感染人類呼吸道和眼結膜。此乃全球首次有研究提供相關證據。研究成果已於權威學術期刊《The Lancet Respiratory Medicine》發表(按此瀏覽期刊文章)。
港大醫學院公共衞生學院副教授陳志偉博士及其研究團隊於是項研究中,在三級生物安全水平(BSL-3)實驗室利用人類上呼吸道和眼部組織,對比SARS-CoV-2、SARS-CoV以及H5N1和2009年H1N1大流行的流感病毒(H1N1pdm2009)的感染情況。團隊發現,SARS-CoV-2遠比SARS-CoV更容易感染人類結膜和上呼吸道;而SARS-CoV-2的感染程度與2009年H1N1流感大流行觀察到的相若。綜上所述,這解釋了為何引起新型冠狀病毒大流行的SARS-CoV-2的傳染性較SARS-CoV為高。陳博士表示:「這項研究亦顯示,眼睛可能是人類感染SARS-CoV-2的重要途徑。」
根據研究團隊早前的一項研究顯示,SARS-CoV-2可以在光滑的表面(例如:不銹鋼、玻璃及塑料)上存活一段長時間(數天)1。 今次的研究發現進一步突顯,如果人類觸摸受污染的表面後擦拭眼睛,傳染性病毒就有可能會透過手部接觸傳播。是項研究成果亦意味著,社會大眾在公共場所要謹記避免接觸眼睛;市民要定期使用肥皂、水或酒精搓手液潔手,以防SARS-CoV-2從受污染表面意外傳播到眼睛和鼻。
美國疾病管制與預防中心國家免疫與呼吸道疾病中心(NCIRD)傳染病專家Dr Jessica A Belser於同期期刊評論:「這項研究納入各種之前已引起或可能會引發人類大流行病的病毒作分析,並利用多種相關的呼吸道和非呼吸道組織及細胞種類,研究其病毒傳播途徑及之後的複製過程。這類實驗室研究對人類解讀各種病毒的獨特性,以及制訂有效的醫學措施以改善人類健康尤為重要。」
關於研究團隊
這項研究由港大醫學院公共衞生學院副教授陳志偉博士領導的團隊進行。研究團隊還包括:港大醫學院公共衞生學院助理教授(研究)許珮茵博士、公共衞生實驗室科學分部主任潘烈文教授、譚華正基金教授席(醫療科學)兼病毒學講座教授裴偉士教授,以及港大醫學院病理學系臨床教授黎國思教授。
該項目由美國國家過敏和傳染病研究所(NIAID)流感監測與研究中心(CEIRS)(合同編號 HHSN272201400006C)、大學教育資助委員會研究資助局主題研究計劃(參考編號:T11-705 / 14N),以及香港特別行政區政府食物及衞生局醫療衞生研究基金之委託研究基金(參考編號:HKS-18-B03)資助。
關於香港大學李嘉誠醫學院公共衞生學院
香港大學李嘉誠醫學院公共衞生學院在公共衞生教育及科研方面有多年經驗,成就卓越。港大公共衞生學院的傳染病及非傳染性疾病的研究工作在國際間舉足輕重,對改善本地和全球個人及人口健康有非常重大的貢獻。此外,港大公共衞生學院乃頂尖的科研和教學中心,對流行性感冒及其他新發病毒的教育工作不遺餘力之餘,亦致力於與傳染病及非傳染性疾病的控制、控煙、空氣污染、心理腫瘤學、行為科學、運動科學、生命歷程流行病學、醫療經濟效益、醫療服務規劃、及管理等有關的研究工作。當中不少研究更獲本地、國內以至國際組織(如美國食品藥物管理局,加拿大衞生部及世界衞生組織)認同,納入其公共衞生政策當中。
港大醫學院關於2019冠狀病毒病的資訊更新:
http://www.med.hku.hk/en/covid-19
傳媒查詢
請聯絡香港大學李嘉誠醫學院 (電郵︰medmedia@hku.hk)。
1 Alex W H Chin, Julie T S Chu, Mahen R A Perera, Kenrie P Y Hui, Hui-Ling Yen, Michael C W Chan, Malik Peiris, Leo L M Poon, Stability of SARS-CoV-2 in different environmental conditions, The Lancet Microbe, 2020, ISSN 2666-5247, https://doi.org/10.1016/S2666-5247(20)30003-3.